1755 1st Ave SE Cedar Rapids IA, 52402

Dr. Milden: tel:319-365-9105

Dr. Peterson: tel:319-364-5561 

EMERGENCY LINE FOR CURRENT PATIENTS: (319)382-6566

[email protected]

CLICK THE LINK TO PAY YOUR BILL ONLINE :  https://rwl.io/p6145-15981


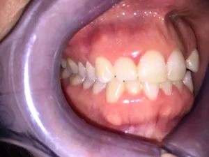
                6 Month Smiles

    

                                 BEFORE  

                           Braces on 2/2/15

              

                                                                 AFTER

                            Braces off 8/3/15

              

                                                  


                                          BEFORE

                                  Braces on 12/17/15

             

 

                                          AFTER

                                 Braces off 5/10/16

           

Ready for a new dental experience?

  • Address

    1755 1st Ave,
    Cedar Rapids, IA 52402 US